Train Station Dental

Cosmetic Dental Bonding

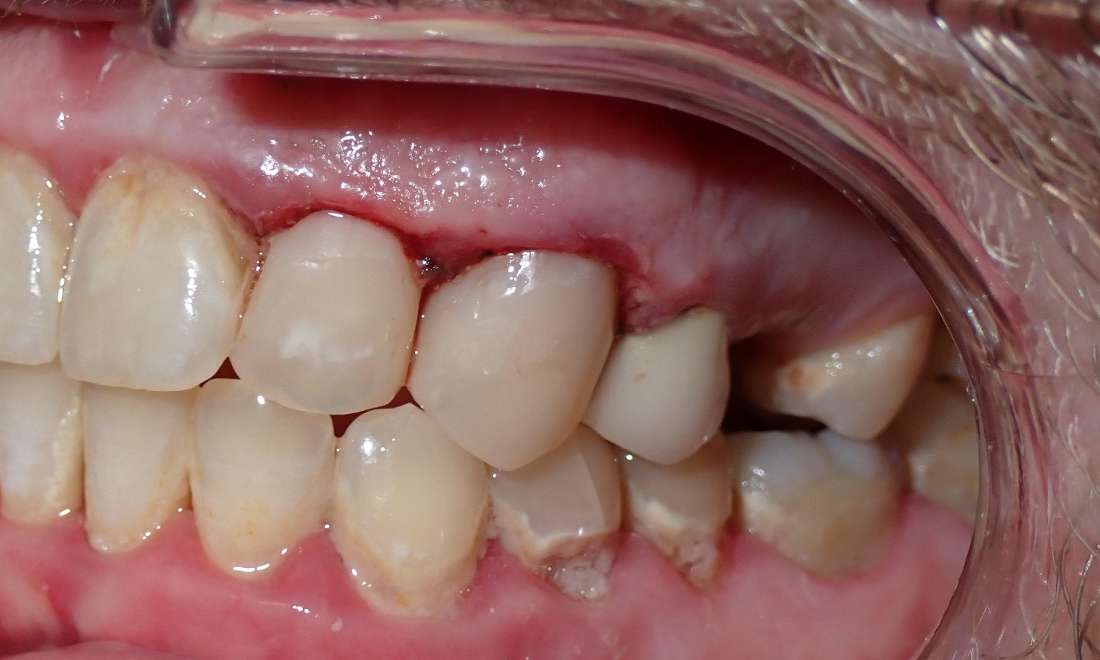
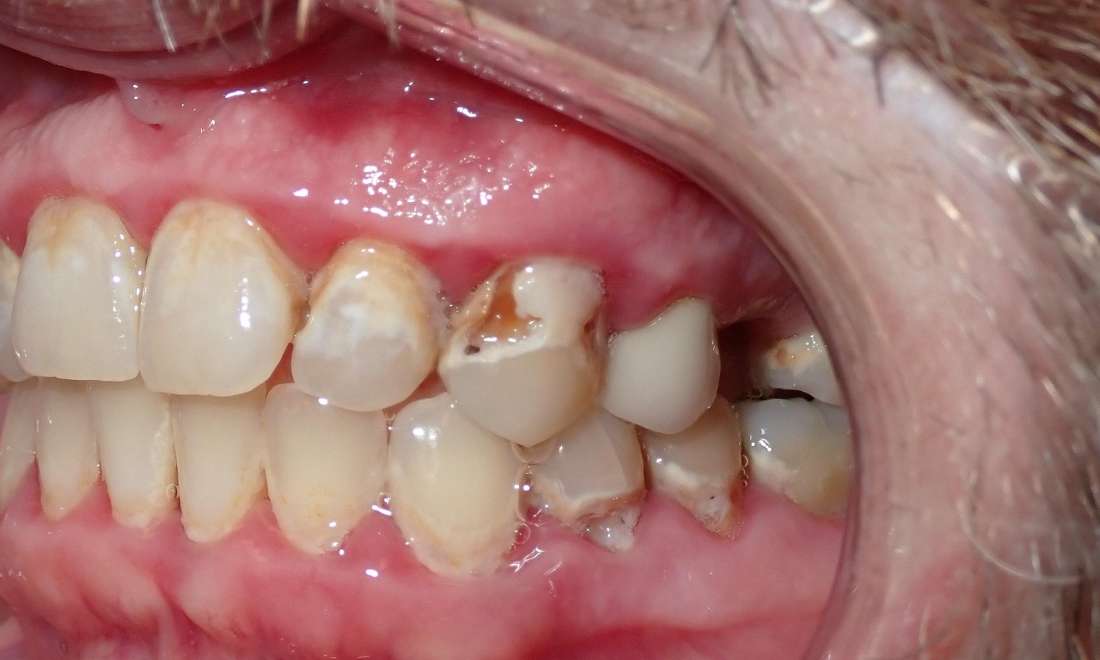
This patient had a noticeable area of decay on a canine tooth, one of the most visible teeth when smiling. The damage affected their smile's appearance and health, but they weren't quite ready for a crown or veneer. And that's where cosmetic dental bonding came in. 

Using a custom-shaded composite resin, our Audubon dentists rebuilt the decayed portion of the tooth in a single visit. We artistically shaped and polished the bonding resin to match the patient's surrounding teeth for a stunning finish. 

The transformation was immediate and dramatic. Not only was the decayed area completely hidden, but the tooth looked healthy, strong, and beautifully blended with the rest of the patient's smile. Most importantly, the patient walked out feeling confident again!

Cosmetic Dental Bonding in Audubon, NJ 

Call us today to book your consultation with one of our dentists in Audubon, NJ. We'd love to help you enhance your smile! 

Related Services:

General Dentistry
Ami Won Our Inaugural MacBook Raffle
Ami Won Our Inaugural MacBook Raffle

Ready to book an appointment?
If you have difficulty using our website, please email us or call us at (856) 546-0734
View the ADA Accessibility Statement