Intraoral Camera Technology

Intraoral Camera Technology at Train Station Dental

Train Station Dental -

Improving Our Patients’ Dental Experience

We’ve found that sometimes it’s difficult for our patients to understand the condition of their teeth the way that Drs. John Savon and Sara Engleman do. One way we improve our patients’ dental experience is through the use of an intraoral camera in our diagnosis.

What Is an Intraoral Camera?

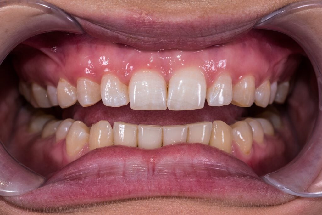
An intraoral camera is a small, pen-like device with a camera on the end. The camera contains a bright LED light which helps us diagnose cavities or fractures that are difficult to see with the naked eye. The camera is connected to a monitor which allows you to see up close what the dentist is seeing. This dramatically improves your dental experience by helping you understand why Drs. John Savon and Sara Engleman would recommend a certain treatment.

Why We Use an Intraoral Camera

Our goal at Train Station Dental is to make your experience as easy and effective as possible, which is why we use an intraoral camera in our diagnostic process. Patients have routinely expressed their appreciation of our intraoral camera. They get to see the state of their teeth for themselves, including problems such as cracked teeth, decay, worn-out or defective fillings, bleeding gums, and tartar.

At Train Station Dental, we serve patients throughout Audubon, NJ and invite you to give us a call at (856) 546-0734. You can also shoot us a quick email with any questions that you may have. We look forward to serving you!

Call Today!

(856) 546-0734