Wisdom Teeth Removal

Extracting Wisdom Teeth

Train Station Dental -

Why Do We Have Wisdom Teeth?

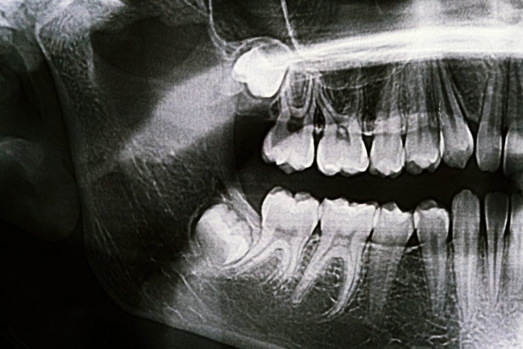
The average adult mouth is designed to hold around 28 teeth comfortably, but most adults end up with 32. The additional four teeth are called wisdom teeth or third molars. When there isn’t enough room for them, the wisdom teeth become blocked or impacted by the other teeth around them. This can become extremely traumatizing. If the wisdom tooth partially erupts, food can get trapped in the tissue surrounding it, which can lead to bacterial growth and possibly serious infection.

Why Remove Wisdom Teeth as a Young Adult?

By removing wisdom teeth when a patient is a young adult, Drs. John Savon and Sara Engleman are able to prevent potential healing problems. When a person reaches the age of their mid-thirties, there are much higher risks involved in wisdom teeth removal. The best time to remove wisdom teeth is generally between the ages of fifteen to eighteen.

However, if you are an adult and need to remove your wisdom teeth, there’s no need to worry. Here at Train Station Dental, we take extra care to make sure that our adult patients are comfortable and anxiety-free. After a consultation, we will recommend that you continue with your wisdom teeth until intervention is absolutely necessary. When it is necessary to remove your wisdom teeth, Drs. John Savon and Sara Engleman will recommend a simple and pain-free surgery. Your health is our highest concern.

Let Drs. John Savon and Sara Engleman Take Care of Those Wisdom Teeth

We see patients on a regular basis to remove wisdom teeth. This is a common procedure at Train Station Dental. If you are interested in having a consultation, please give us a call at (856) 546-0734 or email us.

Call Today!

(856) 546-0734